Deux chirurgiens diplômés de l'Université Mohammed VI des Sciences et de la Santé de Casablanca, au service de votre santé bucco-dentaire.
Diplômés de la faculté de médecine dentaire de l'Université Mohammed VI des Sciences et de la Santé — Casablanca
Un cabinet moderne et chaleureux, équipé des dernières technologies pour des soins précis et sûrs.
Des soins adaptés à chaque patient, avec des techniques modernes et des matériaux de qualité supérieure







Douleur intense, dent cassée, abcès, hémorragie ? Nous vous recevons rapidement pour soulager votre douleur.
Nous vous informons sur chaque matériau utilisé — pour des soins en confiance totale
Au Centre Dentaire Palme d'Or, nous combinons formation d'excellence, technologies modernes et approche humaine pour offrir une expérience dentaire unique.
La satisfaction de nos patients est notre plus belle récompense
Un cabinet d'une propreté impeccable, des médecins à l'écoute et très professionnels. Je recommande vivement le Centre Palme d'Or à toute la famille !
Dr. Laaiouni a réalisé mon traitement de canal sans aucune douleur. Le résultat est parfait. Merci pour votre professionnalisme et votre gentillesse.
Dr. Ennour est extraordinaire avec les enfants. Mon fils qui avait très peur du dentiste est maintenant impatient d'y aller. Merci infiniment !
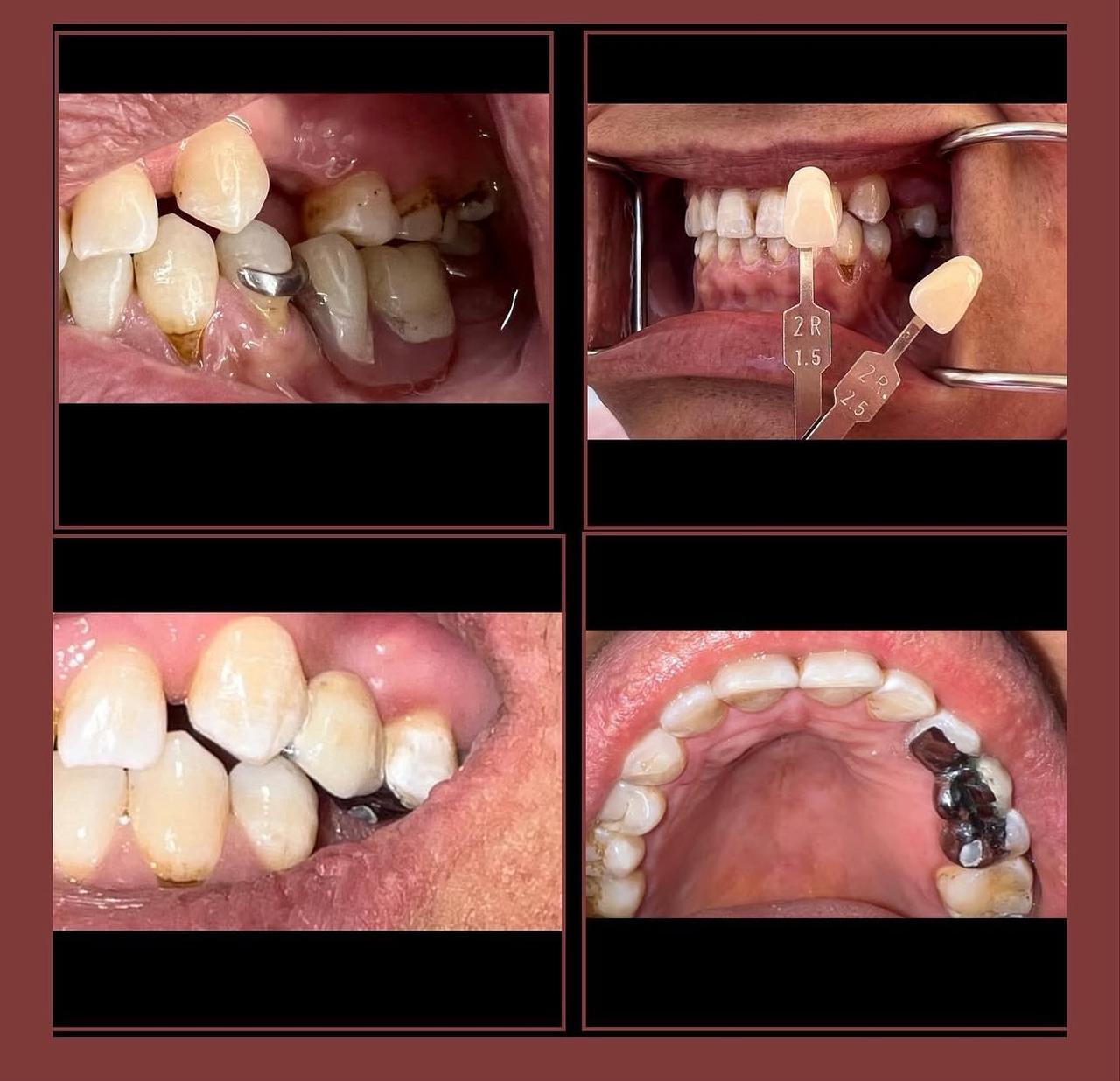
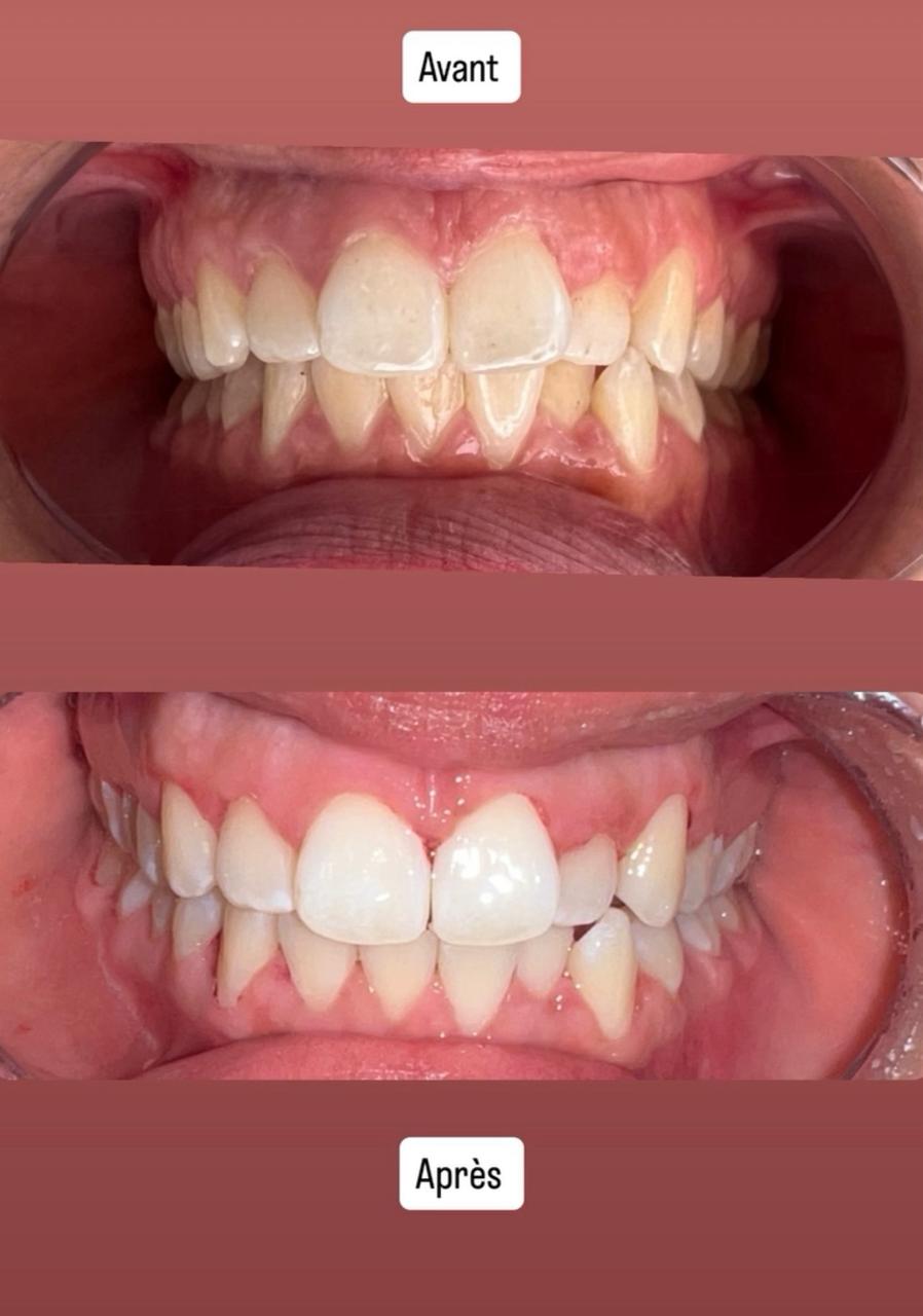
Blanchiment et facettes réalisés avec un résultat naturel et magnifique. Le cabinet est moderne, propre et l'équipe est accueillante. 5 étoiles !
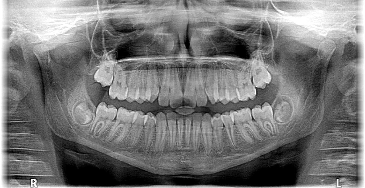
Très bonne expérience pour ma chirurgie dentaire. Prise en charge rapide, explications claires et suivi après l'intervention. Je recommande !
Prothèse de grande qualité, résultat naturel et confort optimal. Les médecins sont diplômés de Mohammed VI et ça se voit dans leur maîtrise.
Réservez votre consultation en ligne ou contactez-nous directement par téléphone ou WhatsApp
Facilement accessible au cœur de Marrakech
Retrouvez les réponses aux questions les plus fréquentes de nos patients